Zadnje čase opažam, da so zobne luske zelo popularne. Spletni mediji in vsa družabna omrežja prikazujejo ljudi s popolnim nasmehom. Njihovi snežno beli zobje se lesketajo že od daleč. Zanimalo me je, kako bi tudi sama prišla do bleščeče belih zob. Po nasvet sem se odpravila kar k svojemu zobozdravniku, ki že leta skrbi, da so moji zobje zdravi, brez zobnega kamna ali kakršnih koli bakterij.

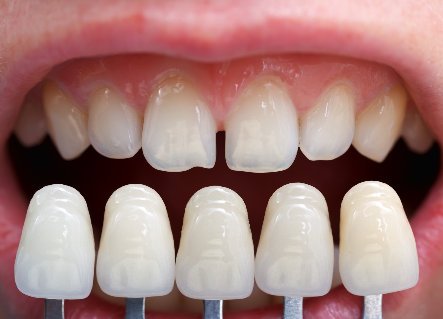
Obiska zobozdravnika se za razliko od večine ljudi veselim. Z delom svojega zobozdravnika sem bila do zdaj vedno zelo zadovoljna, zato sem prepričana, da mi bo znal svetovati o zobnih luskah. Že takoj na začetku mi pove, da imam sicer lepe zobe, vendar na prvi pogled malenkost rumenkaste barve. Verjetno je k temu veliko pripomoglo tudi dejstvo, da sem bila včasih kadilka. Da, vem, kajenje je zelo škodljivo in zato sem še toliko bolj ponosna, da mi je uspelo to grdo razvado opustiti. Seveda pa me je ta navada drago stala. Moji zobje so prav zaradi kajenja postali rumenkaste barve. Zobozdravnik mi predlaga beljenje zob, ki bo pomagalo popolnoma odpraviti rumenkasto barvo mojih zob. Da pa bodo zobje videti bolj ravni, bodo poskrbele zobne luske, ki se prilepijo na zobe. Material, iz katerega so narejene zobne luske, imenujemo porcelan. Gre namreč za zelo tanke porcelanaste ploskve, ki bodo v kratkem nalepljene na mojih zobeh.
Joj, ne znam vam povedati, kako se veselim tega trenutka, ko bo tudi moj nasmeh točno tak, kot ga imajo hollywoodske igralke. Snežno bele luske bodo ustvarile popoln videz mojih zob. Zagotovo se boste strinjali z mano, če vam povem, da zobne luske ustvarijo videz bolj zanimiv, privlačen. Imam prav? Prepričana sem, da bodo nove zobne luske na mojih zobeh veliko pripomogle tudi k dvigu moje samozavesti, saj me rumenkasta barva mojih zob ne bo več obremenjevala. Rumeni zobje bodo kmalu preteklost.